
ABOUT US
いつも、
そばにある歯科医院として
地域の皆さまに安心して通っていただけるように。
私たちは、いつでも相談できる“やさしい歯医者さん”を目指しています。
一般歯科はもちろん、矯正・口腔外科・訪問歯科診療など、幅広いニーズに対応し、丁寧な説明と治療を心がけています。
笑顔と信頼が広がる歯科医院として、これからも地域に根ざした医療を届けてまいります。

TREATMENT 診療案内
シオノデンタルクリニックでは、
一般歯科をはじめ、小児歯科・矯正歯科・口腔外科・訪問歯科診療・インプラント・審美治療・ホワイトニングなど、
幅広い診療に対応しています。
患者さま一人ひとりの症状やご希望に合わせて、わかりやすく丁寧にご説明し、最適な治療をご提案いたします。
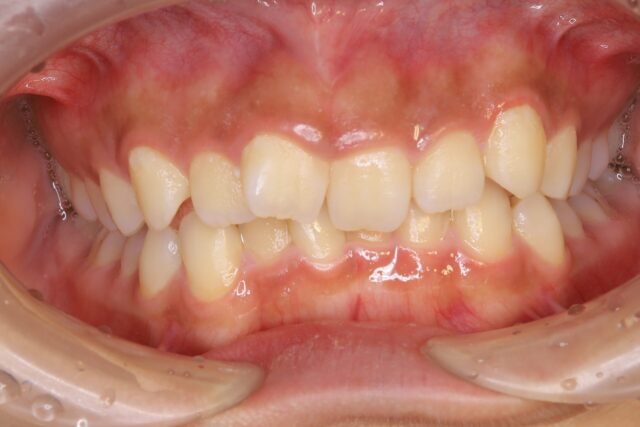
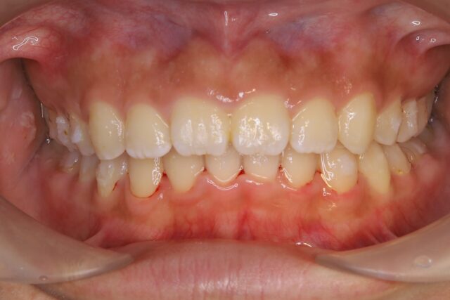
CASE 症例紹介
矯正
矯正
| 治療内容 | 矯正(マルチブラケット) |
|---|---|
| 治療期間・治療回数 | 17ヶ月 |
| 治療費用 | 746,000円(税別) |
| リスク・副作用 | ブラシング不良によるカリエス、歯肉退縮、歯根吸収 |
-
Before
-
After
DOCTOR 院長紹介
2007年、地元・朝霞市に開院して以来、
「地域の皆さまのお口の健康を守ることで、社会に貢献する」という思いを大切に診療を続けてきました。
患者さまの声に耳を傾けながら、技術・知識の向上に努め、
常により良い医療サービスの提供を目指しています。
清潔で安心な環境づくりや、最新設備の導入にも力を入れ、チーム全体でやさしく丁寧な診療を心がけています。気になることがあれば、どうぞお気軽にご相談ください。
院長 塩野 篤史
SHIONO ATSUSHI
RECRUIT 採用情報
当クリニックは初めての方にも安心していただけるよう、
しっかりと時間をかけてご説明し、
不安をできるだけ少なくして治療に臨んでいただけるよう努めています。